BLOG

未分類

監修医:矯正歯科医 戸苅 健

歯並び1は何を意味する?

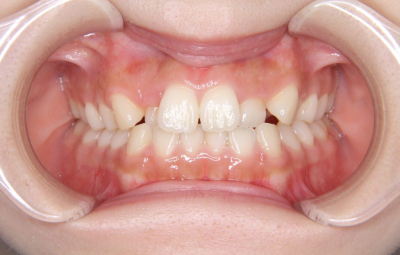
歯科検診で歯並び1にチェックされた場合、「要観察」ということを意味します。 軽度な歯列異常(1〜2歯の反対被蓋や切端咬合など)で経過観察が望ましい状態です。

* 矯正治療中の場合もチェックされることがあります。

歯並び1にチェックされたらどうしたらいい?

学校の歯科検診で歯並び1にチェックされた場合は、歯科医院を受診した方が良いです。かかりつけの主治医の先生に診てもらうのも良いですが、なるべく矯正専門の歯科医師に診てもらうようにしましょう。

経過を見ていきましょうと言われたら・・・

歯科医院で診てもらった結果、経過観察しましょうと言われたら、年に1度は通院して経過を確認してもらうようにしてください。

経過観察が必要な方は

  • 歯並びが少しガタガタしている
  • 歯の生え替わり方に異常がある
  • 上下の歯がきっちりとかみ合っていない

等の状態であることが多いですが、どの部位が要観察なのかしっかりと確認しておくことが大切です。

自宅では、その部分をよく観察するようにしましょう。 何か少しでも異常を感じたり、食事の時に食べにくい、発音がしにくいなどの症状があったらすぐに歯科医院に相談しましょう。


歯並び2は何を意味する?

学校の歯科検診で歯並び2にチェックされた場合、専門的な診査が必要なことを意味します。 主に、叢生・正中離開などの重度な歯列異常や、反対咬合・上顎前突・開咬などの重度の不正咬合の場合にチェックされることが多いです。

歯並び2にチェックされたらどうしたらいい?

かかりつけの歯科医院または矯正専門の歯科医院にて精密な検査や診断を受けることが望ましいです。

学校での歯科検診は大まかなスクリーニング検査ではありますが、それでも2にチェックされる場合、重度な異常が見られる可能性が高いです。 すぐに治療が必要な可能性もありますので、なるべく早めに歯科医院を受診されることをお勧めします。

最後に

歯並び0は、異常なしを意味します。一方、歯並び1や歯並び2にチェックされた場合、治療時期はまだ先になるかもしれませんが、矯正治療の適応となる可能性がある状況です。

歯並び1や歯並び2にチェックされた場合、すぐには治療が必要でないこともありますが、早めに歯科医院を受診されることをお勧めします。

無料メール相談はこちらから

初回無料カウンセリングはこちらから

【通常必要とされる治療内容】
マルチブラケット装置やマウスピース型矯正矯正歯科装置による矯正治療
【費用等に関する事項】
当院の場合 440,000~880,000円(消費税込)
【治療の主なリスク・副作用】
① 矯正歯科装置を付けた後しばらくは違和感、不快感、痛みなどが生じることがありますが、一般的には数日間~1、2 週間で慣れてきます。
② 歯の動き方には個人差があり、予想された治療期間が延長する可能性があります。
③ 矯正歯科装置の使用状況、顎間ゴムの使用状況、定期的な通院など、矯正歯科治療には患者さんの協力が必要であり、それらが治療結果や治療期間に影響します。
④ 治療中は矯正歯科装置が歯の表面に付いているため食物が溜りやすく、また歯が磨きにくくなるため、むし歯や歯周病が生じるリスクが高まります。したがってハミガキを適切に行い、お口の中を常に清潔に保ち、さらに、かかりつけ歯科医に定期的に受診することが大切です。また、歯が動くと隠れていたむし歯があることが判明することもあります。
⑤ 歯を動かすことにより歯根が吸収して短くなることや歯肉がやせて下がることがあります。
⑥ ごくまれに歯が骨と癒着していて歯が動かないことがあります。
⑦ ごくまれに歯を動かすことで神経が障害を受けて壊死することがあります。
⑧ 矯正歯科装置などにより金属等のアレルギー症状が出ることがあります。
⑨ 治療中に顎関節の痛み、音が鳴る、口が開けにくいなどの症状が生じることがあります。
⑩ 治療の経過によっては当初予定していた治療計画を変更する可能性があります。
⑪ 歯の形の修正や咬み合わせの微調整を行う可能性があります。
⑫ 矯正歯科装置を誤飲する可能性があります。
⑬ 矯正歯科装置を外す際にエナメル質に微小な亀裂が入る可能性や、かぶせ物(補綴物)の一部が破損する可能性があります。
⑭ 動的治療が終了し装置が外れた後に現在の咬み合わせに合った状態のかぶせ物(補綴物)やむし歯の治療(修復物)などをやりなおす必要性が生じる可能性があります。
⑮ 動的治療が終了し装置が外れた後に保定装置を指示通り使用しないと、歯並びや、咬み合せの「後戻り」が生じる可能性があります。
⑯ あごの成長発育により咬み合せや歯並びが変化する可能性があります。
⑰ 治療後に親知らずの影響で歯並びや咬み合せに変化が生じる可能性があります。また、加齢や歯周病などにより歯並びや咬み合せが変化することがあります。
⑱ 矯正歯科治療は一度始めると元の状態に戻すことは難しくなります。