年齢別に矯正治療を知る
矯正治療というと金属のブラケットを歯の表面につけて、歯をきれいに並べていくイメージをお持ちの方も多いと思いますが、矯正装置は年齢や目的によって変わります。
それぞれ装置によって特徴や目的が違うため、事前にしっかりと担当医の説明を受け、理解してから治療を受けることが大切です。
1.未就学児に行う矯正治療とは?
未就学児に行う矯正治療の主な目的
- 口呼吸の改善
- 舌癖の改善

口呼吸をしていると前歯が前に出てしまい出っ歯になったりします。また、舌で歯を押す癖があると、歯が前の方に倒れていって隙間のあいた歯並びになってしまいます。

写真①:使用する装置例
写真①の装置を就寝時に使用することでこれらを改善していきます。
矯正治療はご本人の協力が必要です。治療期間も数年かかりますし、毎日の歯の手入れも必要です。ご本人のやる気がある程度ないと良い結果をえることが難しくなります。また、未就学のお子様ですと、ご家庭の協力がとても重要です。矯正治療自体は何歳でも可能ですので、どうしても嫌であれば、無理にいま始める必要はないでしょう。小学生期に、顎の骨の成長を利用した矯正治療をすれば、より理想的な歯並びとかみ合わせを得られます。
2.小学生に行う矯正治療とは?
小学生に行う矯正治療の主な目的
- 顎の成長を促進 or 抑制
- 歯列弓の拡大
- 悪習癖の改善
この時期のお子さまの矯正治療は、取り外し可能な装置も使いますし、接着剤で付ける外せない装置も使います。使用する矯正装置は歯並びのタイプは様々に異なるため、同じ人はいませんので、同じ年齢や似たような状態に見えても違う装置を使うことがあります。装置の種類はある程度ご希望に添うことができますから、相談してください。
お子さまはどんな歯並びですか?
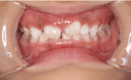
1.上顎前突(出っ歯)

2.下顎前突(受け口)

下顎前突(受け口)とは、奥歯をかみ合わせた際に上下の前歯の位置関係が逆になっており、下の前歯が上の前歯よりも前方に位置している状態のことを指します。
詳しくは「下顎前突(受け口)」をご確認ください
3.叢生(そうせい)、でこぼこ

叢生とは、歯並びがデコボコの状態のことを指します。
歯並び・かみ合わせが悪い状態を不正咬合といいます。
その不正咬合の原因はひとつではありません。
詳しくは「叢生(そうせい)」をご確認ください
当院では、小学校低学年からのマウスピース型カスタムメイド矯正治療(製品名インビザライン 完成物薬機法対象外)にも対応しています。
3.中高生に行う矯正治療とは?
中高生に行う矯正治療の主な目的
- 歯の移動など基本的に成人の矯正治療と同じ
- マウスピース型カスタムメイド矯正歯科装置(製品名インビザライン 完成物薬機法対象外)では、10代のためのラインナップも登場しています
中高生の患者様の治療は、基本的に成人の矯正治療と同じものになり、1本1本の歯を動かして歯並びを整えます。
矯正治療において、この時期は最も治療開始に適している時期とも言えると思います。通院可能な時期を選択して集中して治療を行うことで、短期間で高い治療効果が得られる時期でもあります。
しかし、この時期のお子様は、学校行事や受験、最近では海外留学されるお子様も多くおられるなど、社会生活上で様々な状況変化があり、それらの影響で治療の進行状況が左右されることも多いようです。
当院では、10代(中学生~高校生)のためのマウスピース型カスタムメイド矯正治療(製品名インビザライン 完成物薬機法対象外)にも対応しています。
4.成人に行う矯正治療とは?
成人に行う矯正治療の主な目的
- 歯の移動
成人の患者様の矯正治療は、歯並びを揃えてかみ合わせを整えるというのはもちろんですが、一般歯科との緊密な連携が必要な場合が多いです。親知らずの抜歯が必要であったり、虫歯や歯周病の治療を矯正治療と並行して行う必要がある場合もあります。
また矯正治療後に被せ物のやり直しをお願いしたり、ホワイトニングを希望される患者様もおられます。患者様のかかりつけ歯科医と連携をとって矯正治療が円滑に効率よく進められるように計画を立てることも矯正歯科医に求められるところだと思います。
成人に行う矯正治療の一覧
成人の矯正治療に使われる装置は、大きく分けて次の3つのタイプがあります。装置ごとに異なる特徴があり、以下に簡単にまとめました。
当院ではこれらの装置のうち「マウスピース型カスタムメイド矯正歯科装置(製品名インビザライン 完成物薬機法対象外)」を専門に取り扱っております。
1.唇側からの矯正治療(ブラケット装置)
特徴は、ほかの矯正治療に比べ、費用を安く抑えることができます。
- 通院間隔は、1ヶ月に1度程度。
- 見た目は、目立ちます。
- 食事は、制限があります。
- 歯みがきは、手間がかかります。
2.装置が目立たない舌側矯正
特徴は、目立ちにくい歯の裏側に装着できることです。
- 通院間隔は、1ヶ月に1度程度。
- 費用は、歯の表面に装着するブラケット装置に比べ、高くなります。
- 食事は、制限があります。
- 歯の裏側に装着しているので、歯の表面に装着しているより歯みがきが難しくなります。
3.マウスピース型カスタムメイド矯正歯科装置(製品名インビザライン 完成物薬機法対象外)
特徴は、装着していても目立ちにくく、また取り外しできることです。
- 通院間隔は、2~3ヶ月に1度程度。
- 費用は、少し高くなります。
- 食事は、マウスピース装置を外して、普段通り食べることができます。
- 歯みがきは、マウスピースを外して、普段通り磨くことができます。