ORTHODONTICS

対応症例について

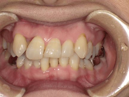
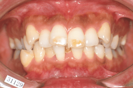
叢生とは?


叢生とは、歯並びがデコボコの状態のことを指します。

歯並び・かみ合わせが悪い状態を不正咬合といいます。
その不正咬合の原因はひとつではありません。

  • 遺伝
  • 習癖
  • 人種
  • 性別

様々なことが複雑に絡み合って、そのような状態になっています。
例えば、叢生(デコボコ)は、主に“歯の大きさと顎の骨の横幅のアンバランス”が原因でおこります。一方、上顎前突(出っ歯)は、指しゃぶりなどの“悪習癖”や“上下の顎の骨の大きさのアンバランス”が原因でおこります。下顎前突(受け口)なども同じです。

叢生(デコボコ)

原因:歯の大きさと顎の骨の横幅のアンバランス


叢生(そうせい)の原因とは?


一般的には、一つ一つの歯の大きさと顎の骨の大きさとのバランスが悪いことが叢生の原因とされております。


通常の場合(バランスが良い状態)



顎が小さくバランスが悪い状態



歯が大きくバランスが悪い状態


この他にも、子供の歯並びから永久歯への生え変わりがうまくいかなかったり、虫歯などで子供の歯を早くに失ってしまったことで、叢生が生じてしまう方もいらっしゃいます。歯並び・かみ合わせは人生を通して常に変化するものですから、食いしばりの癖が強い方などは年齢を重ねるにつれ叢生がひどくなってきたとおっしゃられる方もおられます。


叢生(そうせい)を放置するリスクとは


叢生がある方ですと、歯磨きが難しいのでお口の中をきれいにするのに多くの時間を必要とします。ご自身の歯磨きが難しい部分を理解して、毎回時間をかけてきれいにしていただければよいのですが、それができませんと叢生の部分は不潔になりやすく、虫歯や歯周病に罹患しやすくなってしまいます。

また、叢生部分ではかみ合わせが均等でないことが多いため特定の歯だけがすり減って歯の形がいびつになったりしてしまうこともあります。


矯正治療では歯の形を変えることはできませんので、歯のすり減りが原因で矯正治療後でも歯の高さが合わない場合には、被せ物の治療などが必要になる場合があります。


歯科医師に直接ご自身の歯並びをチェックして欲しい方は初診カウンセリングをご利用ください

症例と治療例についても詳しく見る

・マウスピース型矯正歯科装置(製品名インビザライン完成物薬機法対象外)は医薬品医療機器等法(薬機法)の承認を受けていない未承認医薬品です。
・マウスピース型矯正歯科装置(製品名インビザライン完成物薬機法対象外)はアラインテクノロジー社の製品であり、インビザライン・ジャパン社を介して入手しています。
・国内にもマウスピース型矯正歯科装置として医薬品医療機器等法(薬機法)の承認を受けているものは複数存在します。
・マウスピース型矯正歯科装置(製品名インビザライン完成物薬機法対象外)は1998年にFDA(米国食品医薬品局)により医療機器として認証を受けています。
・マウスピース型矯正歯科装置(製品名インビザライン完成物薬機法対象外)は完成物薬機法対象外の矯正歯科装置であり、承認薬品を対象とする医薬品副作用被害救済制度の対象外となる場合があります。
▼より詳しいご説明はコチラから
マウスピース型カスタムメイド矯正装置とは?


■矯正治療にともなう一般的なリスク・副作用
・矯正治療の一般的な治療費は40万~100万円、一般的な治療期間は6ヶ月~2年、一般的な通院回数は8~20回となります。使用する装置、症状や治療の進行状況などにより変化しますので、参考程度にお考えいただき、詳細は歯科医師にご確認ください。
・機能性や審美性を重視するため公的健康保険対象外の自費診療となり、保険診療よりも高額になります。
・薬機法(医薬品医療機器等法)未承認の矯正装置は、医薬品副作用被害救済制度の対象外となります。
・最初は矯正装置による不快感、痛みなどがあります。数日から1~2週間で慣れることが多いです。
・治療期間は症例により異なりますが、成人矯正や永久歯がすべて生えそろっている場合は、一般的に1年半~3年を要します。小児矯正においては、混合歯列期(乳歯と永久歯が混在する時期)に行なう第1期治療で1~2年、永久歯がすべて生えそろったあとに行なう第2期治療で1~2年半を要することがあります。
・歯の動き方には個人差があるため、治療期間が予想より長期化することがあります。
・装置や顎間ゴムの扱い方、定期的な通院など、矯正治療では患者さまのご協力がたいへん重要であり、それらが治療結果や治療期間に影響します。
・治療中は、装置がついているため歯が磨きにくくなります。虫歯や歯周病のリスクが高まるので、丁寧な歯磨きや定期メンテナンスの受診が大切です。また、歯が動くことで見えなかった虫歯が見えるようになることもあります。
・歯を動かすことにより歯根が吸収され、短くなることがあります。また、歯肉が痩せて下がることがあります。
・ごくまれに、歯が骨と癒着していて歯が動かないことがあります。
・ごくまれに、歯を動かすことで神経に障害を与え、神経が壊死することがあります。
・治療中に金属などのアレルギー症状が出ることがあります。
・治療中に、「顎関節で音が鳴る、顎が痛い、口をあけにくい」などの顎関節症状が出ることがあります。
・問題が生じた場合、当初の治療計画を変更することがあります。
・歯の形状の修正や、噛み合わせの微調整を行なうことがあります。
・矯正装置を誤飲する可能性があります。
・装置を外すときに、エナメル質に微小な亀裂が入る可能性や、補綴物(被せ物など)の一部が破損することがあります。
・装置を外したあと、保定装置を指示どおりに使用しないと後戻りが生じる可能性が高くなります。
・装置を外したあと、現在の噛み合わせに合わせて補綴物(被せ物など)の作製や虫歯治療などをやり直す可能性があります。
・顎の成長発育により、歯並びや噛み合わせが変化する可能性があります。
・治療後に、親知らずの影響で歯並びや噛み合わせが変化する可能性があります。
・加齢や歯周病などにより、歯並びや噛み合わせが変化することがあります。
・矯正治療は、一度始めると元の状態に戻すことが難しくなります。
■「マウスピース型カスタムメイド矯正装置(製品名 インビザライン 完成物薬機法対象外)」を使用した治療リスク・副作用
・機能性や審美性を重視するため公的健康保険対象外の自費診療となり、保険診療よりも高額になります。
・正しい装着方法で1日20時間以上使用しないと、目標とする治療結果を得られないことがあるため、きちんとした自己管理が必要になります。
・ご自身で取り外せるため、紛失することがあります。
・症状によっては、マウスピース型矯正装置で治療できないことがあります。
・お口の中の状態によっては、治療計画どおりの結果が得られないことがあります。
・装着したまま糖分の入った飲料をとると、虫歯を発症しやすくなります。
・治療によって、まれに歯根吸収や歯肉退縮が起こることがあります。
・食いしばりの癖が強い方の場合、奥歯が噛まなくなることがあります。
・治療途中で、ワイヤーを使う治療への変更が必要になることがあります。
・お口の状態によっては、マウスピース型矯正装置に加え、補助矯正装置が必要になることがあります。
・治療完了後は後戻りを防ぐため、保定装置の装着が必要になります。
・薬機法(医薬品医療機器等法)においてまだ承認されていない医療機器です。日本では完成物薬機法対象外の装置であり、医薬品副作用被害救済措置の対象外となることがあります。