RESULTS

症例と治療例

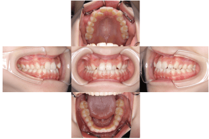
治療前


治療後


  • 初診時年齢:16歳
  • 主訴:叢生
  • 診断:叢生を伴う骨格性I級症例
  • 抜歯箇所:非抜歯
  • 治療内容:顎が狭く、上の前歯が後ろに生えてしまい、ガタガタして上手く咬めない状態でした。幅を広くして、歯の角度を調整し、自然な位置に並べたので上手く咬めるようになりました。
  • 治療期間:2年
  • リスク:ブラックトライアングル(歯と歯の間と歯ぐきの間の三角形の隙間)が強くでる場合がある
  • 費用:99万円

少しでも当院の矯正治療に興味のございます方は、初診カウンセリング​からお申込みください。

初診カウンセリング


マウスピース型カスタムメイド矯正歯科装置(製品名インビザライン 完成物薬機法対象外)


■マウスピース型矯正歯科装置(製品名インビザライン完成物薬機法対象外)は医薬品医療機器等法(薬機法)の承認を受けていない未承認医薬品です。
■マウスピース型矯正歯科装置(製品名インビザライン完成物薬機法対象外)はアラインテクノロジー社の製品であり、インビザライン・ジャパン社を介して入手しています。
■国内にもマウスピース型矯正歯科装置として医薬品医療機器等法(薬機法)の承認を受けているものは複数存在します。
■マウスピース型矯正歯科装置(製品名インビザライン完成物薬機法対象外)は1998年にFDA(米国食品医薬品局)により医療機器として認証を受けています。
■マウスピース型矯正歯科装置(製品名インビザライン完成物薬機法対象外)は完成物薬機法対象外の矯正歯科装置であり、承認薬品を対象とする医薬品副作用被害救済制度の対象外となる場合があります。

より詳しいご説明はコチラから

マウスピース型カスタムメイド矯正装置とは?

治療内容、およびメリット・デメリットについて

治療内容

■当院で行う矯正治療は、マウスピース型カスタムメイド矯正装置(製品名 インビザライン 完成物薬機法対象外)を1日20時間以上(目安)装着して歯を移動させる治療法です。
■1週間~2週間毎に患者様ご自身で新しい装置へ交換していただくため、自己管理が重要です。
■装置の枚数、交換のタイミング、治療期間は患者様ごとに異なるため、担当医の指示に従って治療を受ける必要があります。
■個々の症例により異なりますが、全顎の矯正治療にかかる費用は440,000円~990,000円 (税込み)です。
■一般的な治療期間は6ヶ月~2年、一般的な通院回数は4~20回となります。
■矯正治療は公的健康保険対象外の自費診療となります。
■適応は限られますが、軽度の方や部分矯正が可能な方に対応したものもございます。

矯正治療にともなう一般的なリスク・副作用

■矯正治療の一般的な治療費は40万~80万円、全顎治療の一般的な治療期間は1年~2年、一般的な通院頻度は2ヶ月~半年に1回となります。使用する装置、症状や治療の進行状況などにより変化しますので、参考程度にお考えいただき、詳細は歯科医師にご確認ください。
■機能性や審美性を重視するため公的健康保険対象外の自費診療となり、保険診療よりも高額になります。
■薬機法(医薬品医療機器等法)未承認の矯正装置は、医薬品副作用被害救済制度の対象外となります。
■最初は矯正装置による不快感、痛みなどがあります。数日から1~2週間で慣れることが多いです。
■治療期間は症例により異なりますが、成人矯正や永久歯がすべて生えそろっている場合は、一般的に1年半~3年を要します。小児矯正においては、混合歯列期(乳歯と永久歯が混在する時期)に行なう第1期治療で1~2年、永久歯がすべて生えそろったあとに行なう第2期治療で1~2年半を要することがあります。
■歯の動き方には個人差があるため、治療期間が予想より長期化することがあります。
■装置や顎間ゴムの扱い方、定期的な通院など、矯正治療では患者さまのご協力がたいへん重要であり、それらが治療結果や治療期間に影響します。
■治療中は、装置がついているため歯が磨きにくくなります。虫歯や歯周病のリスクが高まるので、丁寧な歯磨きや定期メンテナンスの受診が大切です。また、歯が動くことで見えなかった虫歯が見えるようになることもあります。
■歯を動かすことにより歯根が吸収され、短くなることがあります。また、歯肉が痩せて下がることがあります。
■ごくまれに、歯が骨と癒着していて歯が動かないことがあります。
■ごくまれに、歯を動かすことで神経に障害を与え、神経が壊死することがあります。
■治療中に金属などのアレルギー症状が出ることがあります。
■治療中に、「顎関節で音が鳴る、顎が痛い、口をあけにくい」などの顎関節症状が出ることがあります。
■問題が生じた場合、当初の治療計画を変更することがあります。
■歯の形状の修正や、噛み合わせの微調整を行なうことがあります。
■矯正装置を誤飲する可能性があります。
■装置を外すときに、エナメル質に微小な亀裂が入る可能性や、補綴物(被せ物など)の一部が破損することがあります。
■装置を外したあと、保定装置を指示どおりに使用しないと後戻りが生じる可能性が高くなります。
■装置を外したあと、現在の噛み合わせに合わせて補綴物(被せ物など)の作製や虫歯治療などをやり直す可能性があります。
■顎の成長発育により、歯並びや噛み合わせが変化する可能性があります。
■治療後に、親知らずの影響で歯並びや噛み合わせが変化する可能性があります。
■加齢や歯周病などにより、歯並びや噛み合わせが変化することがあります。
■矯正治療は、一度始めると元の状態に戻すことが難しくなります。

「マウスピース型カスタムメイド矯正装置(製品名 インビザライン 完成物薬機法対象外)」を使用した治療リスク・副作用

■機能性や審美性を重視するため公的健康保険対象外の自費診療となり、保険診療よりも高額になります。
■正しい装着方法で1日20時間以上使用しないと、目標とする治療結果を得られないことがあるため、きちんとした自己管理が必要になります。
■ご自身で取り外せるため、紛失することがあります。
■症状によっては、マウスピース型矯正装置で治療できないことがあります。
■お口の中の状態によっては、治療計画どおりの結果が得られないことがあります。
■装着したまま糖分の入った飲料をとると、虫歯を発症しやすくなります。
■治療によって、まれに歯根吸収や歯肉退縮が起こることがあります。
■食いしばりの癖が強い方の場合、奥歯が噛まなくなることがあります。
■治療途中で、ワイヤーを使う治療への変更が必要になることがあります。
■お口の状態によっては、マウスピース型矯正装置に加え、補助矯正装置が必要になることがあります。
■治療完了後は後戻りを防ぐため、保定装置の装着が必要になります。
■薬機法(医薬品医療機器等法)においてまだ承認されていない医療機器です。日本では完成物薬機法対象外の装置であり、医薬品副作用被害救済措置の対象外となることがあります。

部分矯正にともなう一般的なリスク・副作用

■機能性や審美性を重視するため公的健康保険対象外の自費診療となり、保険診療よりも高額になります。
■前歯6本だけを治す方法なので、噛み合わせは改善できません。噛み合わせの改善を希望される方は、全顎の矯正治療が必要となります。
■症状によっては、でこぼこの前歯がきれいに並ぶスペースを確保するため、歯と歯の間を削る必要があります。しかし、エナメル質(歯の表面)を0.3~0.8mmほど削る程度なので、歯への支障はほとんどありません。
■前歯だけの治療となり動きが限られているので、症状によっては希望どおりに仕上がらないことがあります。