column

歯列矯正の基礎知識

【監修医:矯正歯科学会 認定医&指導医 増岡 尚哉



子どもの歯が乳歯から永久歯に生え代わるころ、下の顎や歯が上の歯より前に出ている気がする、このままでは受け口になるのでは?と気にされる方は多くいらっしゃいます。
受け口は放置していると噛み方や発音に影響が出てくる恐れがあります。
いつから、どのような治療をするといいのでしょう。
ここでは受け口について、原因や治療方法、治療期間などのお話をしていきます。

【目次】
1、受け口とはどんな症状?
 ・受け口の原因は先天的と後天的に分かれる
2、受け口の治療開始は何歳から?
3、どんな治療法があるの?特徴と治療期間・費用を比較
 ①予防矯正
 ②床矯正
 ③マウスピース矯正
 ④フェイスマスク
4、受け口は自然に治るの?
5、当院における子どもの受け内治療(インビザライン・ファースト)の症例
 ・インビザライン・ファーストのメリット
 ・インビザライン・ファーストの注意点
 ・お子さんの受け口治療も当院におまかせ!

受け口とはどんな症状?

受け口は「反対咬合」とも呼ばれます。これは、横から口元を見るとわかりやすいのですが、下の前歯が上の前歯より前に出てかみ合っている状態を言います。

受け口(反対咬合)は2つに分類されます。
1つは「歯槽性の反対咬合」もう1つは「骨格性の反対咬合」です。

「歯槽性の反対咬合」は上の前歯が後ろ側に、下の前歯は前側に傾いて生えている状態をいいます。通常のかみ合わせは上の前歯は前側に、下の前歯は後ろ側に生えるので逆の生え方となります。骨の異常ではなく、歯の生え方や傾き、生えてくる位置に異常がある場合です。

「骨格性の反対咬合」は下の顎が上の顎より前側に出ている、もしくは、上の顎が下の顎より後ろ側にある場合をいいます。通常、下の顎は身長と一緒に成長します。下の顎が上の顎よりも大きく成長する、骨格に異常がある場合です。

受け口の原因は先天的と後天的に分かれる

受け口になる主な原因は、生まれつきの骨格や歯の生え方による先天的なものと、指しゃぶりや頬杖などの癖による後天的なものに分けられます。

[先天的な原因]
生まれつき上顎が小さいまたは下顎が大きいというアンバランスな骨格や、前歯が傾いて生えるといった歯並びは遺伝による場合があります。

[後天的な原因]
普段何気なくしている癖によって、歯並びが悪くなる、あるいは顎の成長を妨げ上下の顎のバランスが悪くなることがあります。例えば、指しゃぶりが長く続くことや、爪をかんだり唇を丸め込むようにかんだり、舌で歯を押す、頬杖をつくといったものです。
受け口はこれら先天的なもの、後天的なものの両方が原因になることもあります。

受け口の治療開始は何歳から?

受け口の治療開始時期は、お子さまのお口や顎の成長段階、状況によって異なります。

乳歯が生えそろう前の1~2歳くらいでは受け口であってもおよそ50%の割合で自然に治るといわれています。
乳歯が生えそろう3歳くらいで約1割程度が受け口であるという報告があります。
実際に治療を開始するには、乳歯から永久歯に生え代わる6歳~8歳ころが適している場合が多いです。なぜなら、歯の生え変わりのタイミングは骨格の調整がしやすく、顎の成長をうまく活用することができるからです。

また、治療にはマウスピースなどの装置を使用するので、ある程度我慢が必要になります。同時に、指しゃぶりや爪をかむなどの悪い癖がある場合はこの時期には改善をすることが望ましいのです。

どんな治療法があるの?特徴と治療期間・費用を比較

受け口を治す治療にはどのようなものがあるのでしょう。詳しく解説していきます。

①予防矯正

通常、矯正治療は歯をどう動かして歯並びを良くするかが主な治療です。
そもそも歯並び・噛み合わせの問題は遺伝によるものという考えが主でした。しかし、歯並びやかみ合わせが悪いのは後天的な原因の方が多いといわれています。

予防矯正とは、生まれてからの環境的要因を改善して歯並びをよくしていく、というものです。

例えば、お口周りの筋肉が弱いままだと顎の発育が悪く、将来歯並びを整えたとしても周りの筋肉が弱いために後戻りしてしまうケースもあります。
予防矯正は幼少期から始め、マウスピースを使って歯並びやかみ合わせを良くしていくと同時に、お口周りの筋肉トレーニング、舌のトレーニングを行います。他にもかみ方、姿勢のチェック、鼻呼吸、生活習慣の指導などを行います。
予防矯正に取り組むことで、将来の矯正費用が抑えられるメリットに加え、矯正治療自体、する必要がないケースもあります。

マウスピースですので取り外しができ、幼稚園や保育園、学校には外していきます。
デメリットを挙げるとすると、日中1時間+就寝中の12時間~14時間程度の装着が必要なので、慣れるまでは少し時間がかかる可能性があります。

[治療の種類:プレオルソ]
柔らかい素材のマウスピースを日中の1時間+就寝時に装着をします。歯並びだけを整えるのではなく、同時にお口の周りの筋肉、舌の筋肉のバランスを整えることができます。
費用の目安は装置代を含めて100000円~150000円、別途調整費用等に3000円~5000円/月程度が必要なケースが多いです。

[治療の種類:ムーシールド]
乳歯列の時期に受け口を改善するために装着する装置です。マウスピースを就寝時に装着をして、舌の筋肉やお口の周りの筋肉のバランスを整え、反対咬合に効果のある装置です。
費用の目安は、マウスピース代がおよそ50000円、別途調整費用等に3000円~5000円/月程度が必要なケースが多いです。

②床矯正

床矯正とは、入れ歯のようなプラスチックの素材の装置をお口の中に装着して顎を広げ、歯並びやかみ合わせを整える治療法です。上の顎が小さい場合、成長期に合わせて床矯正で顎を広げながら歯がきれいに並ぶためのスペースを確保します。

床矯正には、「急速拡大装置」と「緩徐拡大装置」が使われます。

急速拡大装置は、2週間から2ヶ月程度の短い期間に上の顎を広げる際に使用します。
緩徐拡大装置は1年~2年くらいの期間をかけてゆっくりと上の顎を広げたい時に使用します。

床矯正のメリットは、永久歯が生えそろうまでの期間(6歳~11歳くらい)に上の顎の骨の成長を促すと同時に、永久歯が生えてくる場所を確保して骨と歯並びのバランスを良くすることができます。
床矯正のデメリットは、取り外しができるとは言え、お口に大きな装置が入るので違和感が強く、話がしにくいことが挙げられます。また、下の顎には対応していないので、上あご、下あご両方に問題がある場合は上あごだけを大きくするとかみ合わせなどのバランスが崩れることがあります。

費用は装置代を含めておよそ100000円~300000円、別途調整費用等に3000~5000円/月程度が必要になります。

③マウスピース矯正

これまでの小児矯正では、上記のような床矯正で顎を広げて健康的な歯並びに誘導する治療が主でした。
最近では大人矯正でマウスピース矯正をするケースが増えています。小児矯正でもインビザライン・ファーストというマウスピース矯正をすることで、顎の大きさを広げるのはもちろん、より細かく歯並びを整えることができるようになりました。

インビザライン・ファーストは、透明なマウスピースなので、装着していることが目立ちません。マウスピースを定期的に交換していくだけなので、ワイヤーなどで口の中を傷付ける恐れがありません。マウスピースを外して食事ができ、歯磨きもいつも通り行えるのでむし歯のリスクも低いです。

6歳から10歳くらいまでが適応した年齢と言われていて、治療期間は1年半~2年で、費用は装置代を含めておよそ40万円~65万円、別途調整費用等に3000~5000円/月程度が必要になります。

④フェイスマスク

受け口の方で上あごの成長が悪い場合、または下あごが標準よりも成長していて前に突出している場合は、フェイスマスクという取り外しができる装置を装着することがあります。
額と下あごの間に上あごを前に引っ張るためのワイヤーが取り付けられている装置で、下あごが動くと上あごが前に引っ張られる構造になっています。主に寝ている間に装着し、上あごの成長を促すと同時に下あごの成長を抑えるので上下の顎のバランスが調整されます。
7歳~13歳くらいの歯の生え変わり時期に装着することで、受け口の顎のバランスを整えることができます。
治療期間は半年から1年くらいで、費用は装置代を含めて20万円~30万円、別途調整費用等に3000~5000円/月程度が必要になります。

無料メール相談はこちらから

受け口は自然に治るの?

受け口を放置するとどうなるのでしょうか。

子どもの受け口は2歳くらいまでだと、約50%は自然に治るといわれています。
しかし3歳を過ぎても受け口のままだと自然に治る可能性は低くなり、さらに下あごの成長が進んでしまう恐れがあります。

また、悪い癖がそのままだと歯並びやかみ合わせが悪くなったり、口呼吸、顎関節症の原因になったりすることが考えられます。

下あごの骨は身体の骨と同時に成長していく「長管骨」と言われる骨の仲間です。あごの成長は個人差がありますが、男子で12歳ころ、女子で10歳ころにピークを迎えます。

あごの成長を利用して骨格を整えるためには男女ともに7歳くらいまでには治療を開始することが望ましいといわれています。

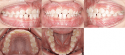
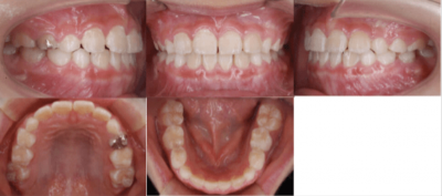
当院における子どもの受け内治療(インビザライン・ファースト)の症例

<治療前>


<治療後>


初診時は7歳2ヶ月で、前歯のかみ合わせが反対になっていることが主訴で来院されました。前歯部の反対咬合の診断により、「インビザライン・ファースト」を使用して治療を開始しました。
治療期間は6ヶ月で、下顎の前歯が上顎の前歯より前に出ている「交叉咬合」が改善されました。
治療のリスクとしては、矯正治療時に歯が移動する際に生じる痛み、歯根の吸収、むし歯が挙げられます。治療費用はおよそ40万円です。

【参照】https://sapporo-maortho.com/results/childrencase4.html

インビザライン・ファーストのメリット

インビザライン・ファーストには次のようなメリットがあります。

  • 透明なマウスピースを使用するため、目立たず取り外しも可能なのでワイヤー矯正に比べると違和感やストレスが少ない
  • 食事制限がなく、歯磨きもいつも通りできるので衛生的でむし歯のリスクが低い
  • 治療経過のチェックは1.5ヶ月~3ヶ月に1度程度なので、通院の負担が減る
  • 第1期治療と呼ばれる乳歯と永久歯の混合する時期(小学校低学年)から装着ができるため、永久歯が生えそろう第2期から始めるより治療期間が比較的短い
  • 従来は顎の成長と歯並びは別々の治療だったが、インビザライン・ファーストでは同時に両方の治療ができ、抜歯をせずに歯並びを整えることができる
  • ワイヤー矯正のように装置で歯肉や唇を傷つくこともなく、歯が移動する時の痛みもワイヤー矯正に比べると少ないといわれている

インビザライン・ファーストの注意点

インビザライン・ファーストでは、1日20時間程度は装着する必要があります。装着時間がこれより少ない時間になると、計画通り歯が動かない原因になることがあり、矯正期間の延長、歯並びが整わない可能性があります。

食事や飲み物を飲む際には毎回外して摂る必要があります。歯とマウスピースの間に食べ物や甘い飲みものが付いたままだとむし歯のリスクが上がります。食後や飲み物を飲んだ後は必ず歯磨きをして、お口の中を清潔にしてマウスピースを戻すようにします。

マウスピースは取り外しが可能な分、置忘れなどの紛失には注意が必要です。マウスピースはしっかり管理をする必要があります。

お子さんの受け口治療も当院におまかせ!

あごの成長と歯並びを同時に治療ができる期間はとても短いです。そのうち成長とともに歯並びはよくなるだろう、と待っていてもタイミングを逃すばかりでよくなることは極めて低いです。

お子さまが受け口かな?と少しでも気になられたら、まずは当院の無料カウンセリングでお話をお聞かせください。

矯正が必要なのか、始めるのはいつからがいいのか、などどのような細かな疑問やご質問でも丁寧にご説明いたしますのでお気軽にご相談ください。

初回無料カウンセリングはこちらから